髋部骨折是老年人的常见创伤,通常发生在患有骨质疏松的老年人群中,跌倒是其最主要的原因。主要包括股骨颈骨折、股骨粗隆间骨折。

股骨颈骨折(左图)和股骨粗隆间骨折(右图)
根据国家卫生健康委办公厅发布的老年髋部骨折诊疗与管理指南(2022年版)调查显示:我国每年的髋部骨折新发病例超过100万,而且还在逐年增加。髋部骨折对老年人的健康影响巨大,因其致残率和死亡率高而被冠以“人生最后一次骨折”,约有35%的髋部骨折幸存者无法恢复独立行走,25%的患者需长期家庭护理,骨折后6个月死亡率10-20%,1年死亡率高达20-30%,且医疗费用昂贵。

髋部骨折之所以危害如此大,主要是因为髋部骨折患者长期卧床导致的并发症,如坠积性肺炎、泌尿系感染、缺血性脑卒中、压疮、下肢深静脉血栓等,而手术治疗可使患者术后早期下地活动,避免长期卧床。
治疗老年髋部骨折的手术方式
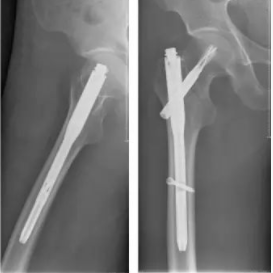
老年髋部骨折的新型术式——FNS治疗股骨颈骨折

老年髋部骨折的典型术式—PFNA固定股骨粗隆间骨折

老年髋部骨折的典型术式—Inter tan微创闭合复位内固定术

老年髋部骨折的典型术式——髋关节置换

半髋关节置换

全髋关节置换
创伤科主任李培龙表示:至于选择哪种手术方式,则一般遵循以下基本原则:对于股骨粗隆间、粗隆下骨折一般首选采用内固定方式;股骨颈骨折55岁以下选择内固定,而对于年龄大于55岁以上的股骨颈骨折,多选择半髋关节置换或全髋关节置换。当然,这只是一般情况,具体手术方案必需要考虑的要素是患者现在的“生理情况”,而非患者的年龄,即要做到“个体化治疗”。
而在现实生活中,当我们告知老年髋部骨折患者及其家属需要手术治疗时,患者家属往往会问:“医生,老人都这么大岁数了,还能承受的了手术么?可不可以保守治疗,打个石膏之类的?”对于老年人,能否耐受手术治疗,不是看年龄的,百岁老人手术后恢复良好的例子比比皆是,主要得综合各系统的检查结果来评估。
当然,对于骨折前就丧失了生活自理能力的患者或有严重的内科基础疾病,无法耐受手术的,可考虑保守治疗;但保守治疗需要行下肢牵引,护理难度很大,而且都要求患者长期卧床,所以建议老年髋部骨折患者经调理好内科疾病后,把握好手术时机,及时手术,才能有效避免长期卧床相关并发症,提高生活质量,安享晚年。
家中老人如果髋关节骨折了,到底应该选用哪种方法进行治疗,首先由专科医生进行评估,然后家属及患者参考评估意见,权衡利弊后进行慎重选择。






















































