踝关节骨折是临床上常见的骨折类型。发生踝关节骨折后,踝关节操遭受较大创伤,常出现的骨折断端移位,并伴有踝关节脱位、踝关节极度不稳等情况。
因此,踝关节骨折发生后,一定要积极进行手术治疗,尽快恢复踝关节正常的生理解剖结构,稳定踝关节,恢复关节正常的屈伸负重功能。踝关节骨折后,打钢板、钢钉,是传统手术治疗中的“标配”,但往往患者需要进行二次手术取出金属内固定。一次骨折,两次手术也为踝关节骨折患者带来多一份痛苦。

传统踝关节骨折金属内固定
近几年,随着可吸收材料学方面的进展,越来越多的可吸收钉板系统被应用于临床,并取得了满意的临床疗效,其与传统金属内固定物相比,最大的优势就是无需二次取出,不会对患者造成二次伤害;在新骨生成同时,人工骨逐渐降解、吸收,实现自体骨再生;同时,还能刺激成骨细胞快速生长促进骨愈合,减轻患者痛苦,加快康复过程;无影像学干扰,不影响术后磁共振MRI的检查,能够清晰观察到骨折愈合情况。近年来,我院手足显微外科采用可吸收钉板系统治疗踝关节骨折患者,取得了满意的临床疗效。
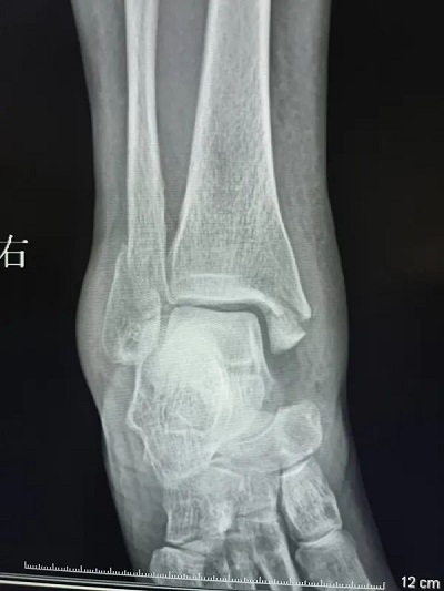
患者柯某某,女,58 岁,因外伤致右踝关节损伤,入院诊断为右内外踝骨折伴踝关节脱位,受伤后踝关节肿胀明显,给予系统性治疗,6天后消肿,手术前手足显微外科室多次讨论、综合评估、完善术前准备,制定了详细手术方案。由于担心自己年龄较大,患者不想二次进行手术取出金属内固定,选择可吸收钉板进行手术。在麻醉科的配合下用时近2小时左右顺利完成手术,术后拍片显示骨折及关节达到临床复位。

右内外踝骨折伴踝关节脱位术前


使用可吸收钉板系统术后
目前,可吸收性内固定材料在骨科手术中应用越来越广泛。手足显微外科在使用新材料、开展新技术方面有了进一步的提升,今后将为患者提供更优质的医疗服务。
目前,手足显微外科利用可吸收内固定系统可处理包括儿童骨折及成人的骨折,如指骨,腕舟骨,足跖骨等;关节内骨折特别是关节软骨骨折等;以及手腕足踝部的矫形重建手术等。此项技术的成熟开展,将会为广大患者提供更多的舒适化诊疗服务。






















































