血脉通栓化斑方,连服3月斑块明显改善!一剂良方,颈动脉斑块患者福音
颈动脉斑块被公认为“人体内的定时炸弹”,若治疗不及时很容易引起斑块脱落。斑块一旦脱落,很可能形成栓子。堵塞脑部血管,则导致中风,堵塞冠状动脉,则导致心肌梗死。
无故头晕头痛心慌气短,警惕颈动脉斑块的出现
2020年7月份,来自山东的患者周先生突然开始出现反复的失眠,经常胸闷心悸,全身乏力,有的时候高强度工作后还会头痛头晕,看东西模糊等,考虑到自己患有高血脂高血压,于是他去往当地的医院进行检查治疗。
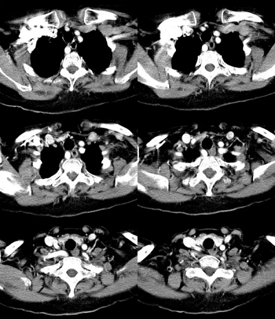
当时检查结果显示,周先生左右侧颈动脉均有不同程度斑块的出现。右侧锁骨下动脉起始部后壁可见大小约0.9*0.3厘米混合回声斑块,右侧颈外动脉起始部后壁可见大小约1.1*0.17厘米混合回声斑块,左侧颈外动脉起始部后壁可见大小约1.1*0.21厘米的回声斑块。
CDFI结果:斑块处血流信号充盈缺损,频谱形态及血流速度未见明显异常。双侧颈总、颈内、外动脉内径正常,内中膜增厚不光滑。

对于这个检查结果,周先生一下子慌了神。自己的高血压高血脂还不是十分严重,颈动脉斑块他也不太了解,但是心肌梗死和中风可是天天听说,尤其是前一段时间,同行业里有个年龄相仿的朋友,就是因为颈动脉斑块诱发心梗差点要了命,现在不仅没办法生活自理,每天还要大量的花钱。
周先生今年43岁,年前刚刚提拔区域运营总监,正处于事业的上升期,上有老下有小,一家六口都指着他这个主心骨,要是他出个什么意外,这个家基本也就垮了。为了避免后续并发症的诱发,周先生当即选择了住院。
本来想着住院是最快最根本的治疗方式,以为治疗一段斑块就可以消除个七七八八,然而一段时间下来后,周先生检查发现体内的斑块改善并不明显,他感到十分苦恼。
2022年11月初周先生通过朋友的介绍找到云太医素朴中医院心脑科室,希望可以在自己之前治疗的基础上,融入中医调理,改善自己的身体状况。

气行则血行,气滞者血瘀
了解完周先生的基本情况后,段亚君医生对其进行了把脉和舌苔观察,发现患者脉弦细涩,舌质暗红,舌苔厚腻,再结合先前头晕疲劳的症状,推测这是肺肾心气虚,血淤痰火郁结引起的典型症状表现。
心脑血管类疾病在中医来讲,就是“痰浊血瘀,痰湿瘀滞”,关于“堵”字一说,中医大部分来讲属于“血瘀”范畴,血与气又密不可分,因此有“气行则血行,气滞者血瘀”的说法。

血脉通栓化斑方,辨证体质后,对症用药
2023年2月,患者视频二诊:自述这些日子以来失眠心悸的现象大大改善,偶尔还会有头痛的情况,但是频率基本可以忽略不计,又因为疫情原因部分药材无法采购,于是我在先前组方的基础上进行调整。
2023年5月份患者视频三诊:此时服用中药调理已经半年有余,不仅基本症状都已消失,此次检查高血压高血脂也处于正常范围内。
监测颈动脉斑块情况,在当地医院检查后,右侧锁骨下动脉的斑块已经基本消失,左右两侧的斑块也变小了,医院的医生还问他在哪里治疗的,夸赞效果十分不错。

明确病理,中医调理斑块消失不在少数
日常生活中,部分人对于中医治理颈动脉斑块还存在两大误解,
一是觉得颈动脉斑块的出现无伤大雅,只要无明显症状就不需要治疗,更不需要中医干预调理;
二是认为颈动脉斑块的中医调理存在一定的实验性,斑块消失更是没有道理的事情。
其实,正是中药中诸多药材的药性相互作用,才使得体内血管壁上的硬化斑块,在五脏通调的基础下消散沉淀。中药对应血管的修复和新生,都是从血液根源出发,使血液细胞活性增强,造血功能提升,激活红细胞的代谢并增加携氧能力,从而让血管得到改善,让斑块逐渐消除。

从医几十年,段亚君大夫已经从众多颈动脉斑块患者身上得到证实,单是上述周先生的同类药方就先后帮助不少患者消除斑块。






















































