沧州莱恩口腔看牙技术实力派 数字化技术助力牙齿矫正
2021-12-31 11:06  浏览:200

9岁少年牙齿全烂掉,只因一个坏习惯,大部分孩子居然都有!!看看你家孩子有没有!!

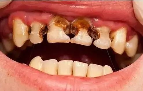
近日,9岁男孩被妈妈带到沧州莱恩口腔,满口牙齿惨不忍睹。

成年人的口腔里,有功能的应该有28颗牙齿,上下12颗门牙+8颗前磨牙+8颗磨牙。男孩的这28颗牙齿,其中上门牙6颗、下磨牙2颗,因为烂得太彻底,已不得不拔掉了。还有10颗牙齿因为被饮料腐蚀得脆弱不堪而折断,甚至齐根折断与牙龈齐平了。
满口牙齿中,还算“有点样子”的只剩6颗下门牙,但也被腐蚀得很单薄,牙体几乎变透明了,基本上只要一咬骨头,也会马上碎裂。
沧州莱恩口腔专家了解到,满口烂牙齿,就因为这些!!!
含糖睡觉,不刷牙
男孩自小由爷爷奶奶带大。爷爷奶奶宠孙子,又不大懂口腔保健知识,小时候常常由着孙子含着一块糖就睡着了,也不要求他一定刷牙。
从不看牙医
上述的这些坏习惯,使得男孩的乳牙基本全部龋坏,但爷爷奶奶觉得反正要换牙的,加上孙子年纪小害怕去看牙医,也就作罢了。
2fe607200b923ffadd950da4b92a7632.webp

 

饮料下饭,嚼口香糖代替刷牙
等到十一二岁恒牙几乎长齐的时候,男孩又多了一个坏习惯,就是每天拿饮料当水喝。他对饮料的爱好简直到了狂热的程度,每天不喝水只喝饮料,什么冰红茶、可乐、汽水,每天都要喝上四五瓶。甚至靠饮料下饭,一口饮料一口饭。同时,不爱刷牙的坏习惯也一直延续了下来,经常是嚼块口香糖当刷牙了。常喝软饮等于把牙齿泡在PH值2.2-4.9的酸液里
曾有媒体报道,澳大利亚25岁青年威廉·肯尼韦尔,也是喝软饮料成瘾,多时一天喝8升可乐,致使满口牙全部被拔,只能靠假牙进食,还得了败血症。
大部分饮料,包括碳酸饮料和其它软饮,PH值通常在2.2-4.9之间,而牙齿表面的珐琅质,溶解临界值是5.5。所以牙齿长时间泡在饮料里,肯定会慢慢溶解。在医学领域,这一现象被称作“酸蚀症”,简单来说就是牙齿长期广泛接触酸性物质,造成牙齿硬组织溶解丧失。而且,饮料里的糖分遇到口腔里的细菌,也会发酵产酸,导致牙釉质脱矿溶解。在国内的酸蚀症流行病学调查中,12岁小孩的酸蚀症犯病率达到20%。25-30岁的年轻人是酸蚀症的另一个发病高峰,这部分人的牙齿,特别是牙颈部位,往往已经被饮料腐蚀出像弹坑一样的小龋洞。比起过去,人们现在饮用了太多的软饮料,尤其很多孩子直接当成水来喝,导致出现了诸如牙齿疾病。牙齿问题不同于孩子的头痛、发烧,可以依靠自身免疫力自愈。更多的需要家长每日对孩子进行监督,7岁以下我们更是要求家长帮助孩子去刷牙和用牙线。当然,完全不喝饮料也不现实。但是,喝饮料也要讲究方法:尽量用吸管,减少牙齿和饮料接触的面积;喝完后马上用清水漱口,但不要马上刷牙,以免破坏已被饮料泡软的牙齿表层珐琅质。做好定期检查,有牙齿问题及时就医。