导语:2月23日,深圳市水槟榔生物科技有限公司、深圳市合元科技有限公司与中国科学院深圳先进技术研究院联合署名在SCI期刊《应用毒理学》(Journal of Applied Toxicology)发表了题为“evaluation of the inhalation toxicity of arecoline benzoate aerosol in rats”的研究论文。

2月23日,深圳市水槟榔生物科技有限公司、深圳市合元科技有限公司与中国科学院深圳先进技术研究院联合署名在SCI期刊《应用毒理学》(Journal of Applied Toxicology)发表了题为“evaluation of the inhalation toxicity of arecoline benzoate aerosol in rats”的研究论文。
该项研究是由深圳市水槟榔生物科技有限公司、深圳市合元科技有限公司与中科院深圳先进技术研究院共同开展。也是“深圳市合元科技有限公司-中科院深圳先进技术研究院联合实验室”自2019年12月成立以来,公开发表的首个科研成果。
据介绍,该论文系国际首次报道新型槟榔碱盐,并系统性评估槟榔碱盐吸入毒理,同时将槟榔碱盐应用于雾化吸入产品。该研究不仅填补了槟榔碱吸入安全性的空白,也阐明了槟榔更广阔的应用前景,对槟榔产业未来的发展具有里程碑的意义。
?
槟榔是中国传统的四大南药,用于治疗虫积、食滞、脘腹胀痛、水肿和疟疾等。咀嚼槟榔在东南亚、东非沿海地区和西太平洋地区广泛流行,目前全球约有6亿消费人群。
研究表明,人体长期咀嚼槟榔会对口腔造成伤害,导致口腔溃疡,口腔粘膜纤维化,甚至引发口腔癌。因此,研发新型槟榔产品替代传统的槟榔咀嚼物,减少其对口腔的危害势在必行。雾化吸入槟榔,既可以保留槟榔提神醒脑、祛湿驱寒、降气行滞、消除疲劳等功效,还可以剔除槟榔嚼块中粗纤维、石灰等对口腔有损害的成分,是替代槟榔咀嚼产品一种绿色和健康的摄入方式。
?
文章除阐述制备新型槟榔碱盐活性成分外,并对槟榔碱盐进行安全性评估,包括体外细胞实验和体内动物吸入毒理试验。
实验人员进行了槟榔碱及槟榔碱盐(ABA)细胞活力,结果显示ABA对人肺癌A549细胞增殖的半抑制浓度(IC50)为832 ?g/ml,槟榔碱为412 ?g/ml。

△槟榔碱及槟榔碱盐(ABA)体外细胞实验
急性吸入毒理评估结果显示,雌性大鼠吸入283 mg/kg和雄性大鼠吸入276 mg/kg的槟榔碱盐后,未见临床指标异常。28天吸入毒理评估结果表明,与溶剂对照组相比,大鼠以口鼻暴露方式吸入2510 mg/m?槟榔碱盐雾化液其体重、摄食量、血液学、血生化、脏器重量、脏器系数和组织病理学指标均无显著性变化。以上实验均参考OECD准则(国际经济合作与发展组织化学品测试准则)开展,首次系统科学的评估和证实了槟榔碱盐在测试剂量条件下的雾化吸入安全性。

△急性及28天动物吸入安全性评估实验模型

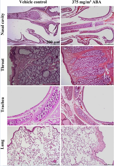
△28天吸入毒理呼吸系统病理切片
“路漫漫其修远兮,吾将上下而求索”。合元集团,水槟榔生物表示将继续践行“发展雾化科技,引领健康生活”的企业使命,“求真务实,锐意创新”的核心价值观,与更多国内外高校、科研机构合作,进一步参考药品吸入制剂研发手段,深入全面验证槟榔雾化的安全性,探索槟榔的药用价值,推动大健康雾化行业的发展。
